JP Dental Hartford

Smile Gallery: Dental Implants

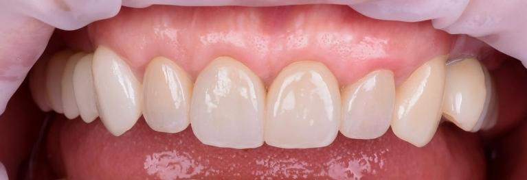
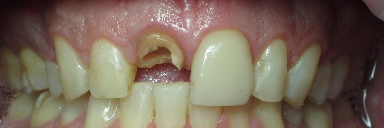
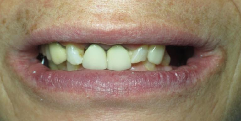
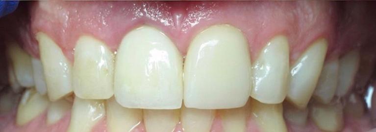
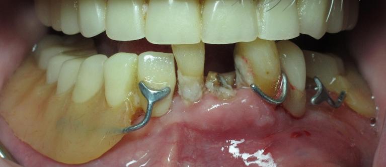
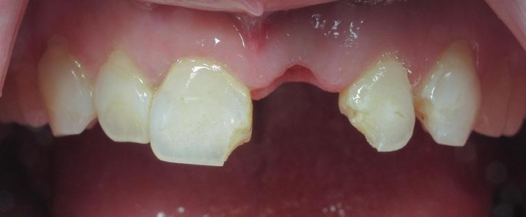
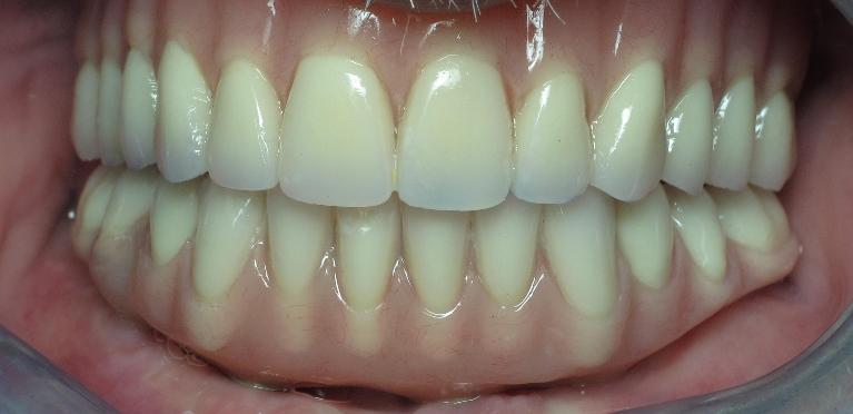
There's no reason to live with a smile you don't love. But if you've been putting up with dental flaws, it may be difficult to picture how great a healthy smile can look and how much it can improve your self-confidence. 

If you would like to see the difference that even one procedure can have on your smile, please browse through our Before and After photos from our Smile Gallery. You'll see the amazing transformations we can achieve and maybe even get some inspiration for improving your own smile!

Ready to book an appointment?
Patient Testimonial - JP Dental Hartford
If you have difficulty using our website, please email us or call us at (860) 525-2366
View the ADA Accessibility Statement