Skip to main content
All On X
Full Mouth Rehabilitation

All On X | Dentist
Improve your smile today – call to schedule a consultation!
Contact Us

All On 4

Are you struggling with missing teeth or uncomfortable dentures? If so, the All-on-X dental procedure may be the perfect solution for you. This innovative technique can restore your smile, improve your bite, and boost your confidence, all while giving you a more permanent and natural-looking result. In this blog, we'll explain what the All-on-X procedure is, how it works, and why it's an excellent option for residents in Greater Hartford, Connecticut.

What is the All-on-X Procedure?

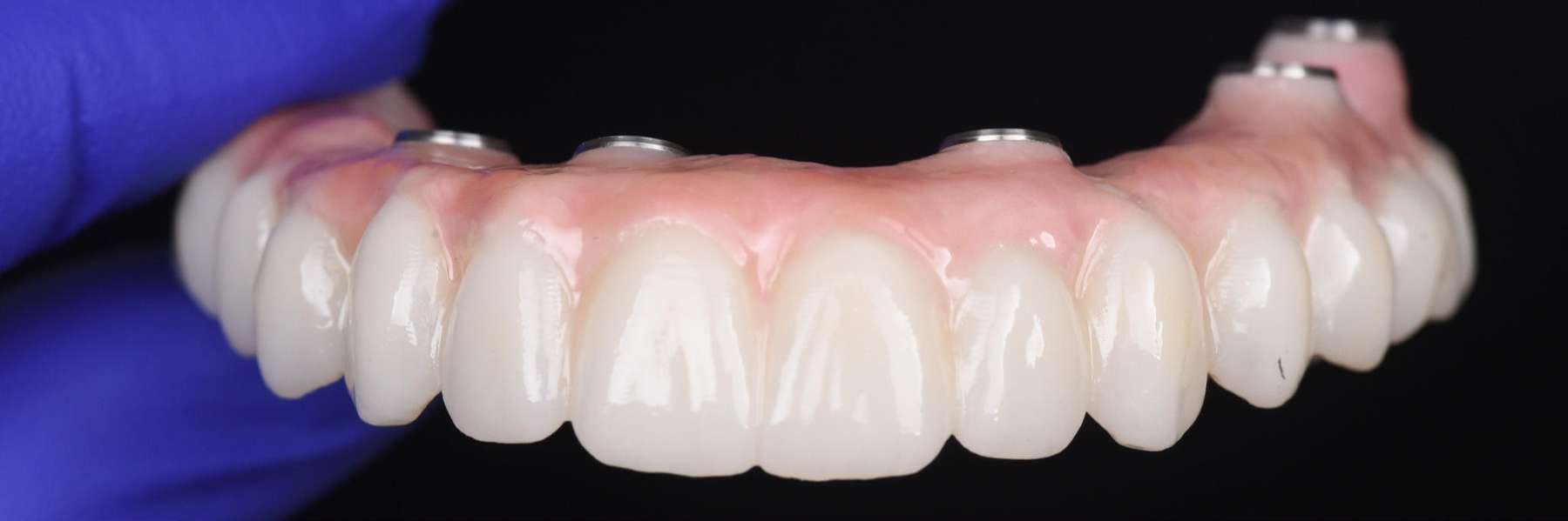
The All-on-X procedure is a type of dental implant solution designed to replace a full set of teeth with a fixed, permanent dental bridge. Instead of replacing each individual tooth, All-on-X uses a small number of dental implants (typically 4 to 6) to support a full arch of replacement teeth. This approach is highly efficient, as it provides a sturdy and durable foundation for a full set of teeth, all while reducing the need for multiple implants.

Why Choose the All-on-X Procedure?

  1. Quick and Efficient: Unlike traditional dental implants that can take months to complete, the All-on-X procedure is faster. You can often have a full set of replacement teeth in place in just one or two visits.

  2. Minimal Recovery Time: Because fewer implants are used, the healing process tends to be quicker. Most patients experience less discomfort and can return to their daily routines soon after the procedure.

  3. Cost-Effective: In comparison to traditional implants that require one implant for each missing tooth, All-on-X is more affordable, as fewer implants are needed. It offers a more budget-friendly solution for people who need to replace a full set of teeth.

  4. Natural-Looking Results: The replacement teeth used in the All-on-X procedure are custom-made to look and feel like your natural teeth, providing a beautiful, functional smile.

  5. Improved Quality of Life: The All-on-X procedure helps restore your ability to eat, speak, and smile comfortably. It also eliminates the need for messy adhesives or removable dentures.

How Does the All-on-X Procedure Work?

The All-on-X procedure typically involves several steps:

  1. Consultation and Evaluation: The first step is to schedule a consultation. We will evaluate your oral health and discuss your treatment options to determine if the All-on-X procedure is right for you.

  2. Implant Placement: During the procedure, your dentist will place 4 to 6 titanium dental implants into your jawbone. These implants serve as the foundation for your new set of teeth.

  3. Temporary Teeth: After the implants are placed, we may provide temporary teeth to wear while the implants heal and integrate with your jawbone. This typically takes a few months.

  4. Permanent Teeth: Once the implants have fully healed and fused with the bone, we will attach a custom-made, permanent set of teeth to the implants. This final set will restore both the function and appearance of your smile.

  5. Follow-Up Care: Regular follow-up appointments will be scheduled to ensure the implants are healing properly and to make any adjustments if necessary.

Is the All-on-X Procedure Right for You?

The All-on-X procedure is a great option for individuals with multiple missing or damaged teeth, or for those who are unhappy with their traditional dentures. However, the ideal candidate for this procedure must meet certain criteria, including:

  • Sufficient Jawbone Density: In order to support the implants, you must have enough bone in your jaw. If you don’t, your dentist may recommend a bone graft before proceeding with the procedure.
  • Good Overall Health: The procedure requires surgery, so being in good health is important for a successful outcome.
  • Commitment to Oral Hygiene: Proper care of your dental implants is essential to ensure their long-term success.

Benefits of All-on-X for Patients in Greater Hartford, Connecticut

Residents of Greater Hartford, Connecticut, can benefit greatly from the All-on-X procedure. With its shorter recovery time and cost-effective nature, this procedure is becoming increasingly popular among local patients who want to restore their smile and improve their quality of life.

Whether you're from Hartford, West Hartford, Newington, or any nearby area, you can have us to guide you through this life-changing treatment.

Conclusion

The All-on-X procedure offers a transformative solution for those struggling with missing or damaged teeth. This procedure provides a quicker, more affordable, and less invasive option compared to traditional implants, while also offering a natural-looking and durable result. If you're a patient in Greater Hartford, Connecticut, looking for a permanent and effective solution to replace missing teeth, the All-on-X procedure might be exactly what you need.

If you're ready to explore this option, reach out to us for a consultation today. A bright, confident smile is just a phone call away!

 

Meet Our Doctor:

Dr. Paul Chung DMD

 

Dentist in Hartford CT

Dr. Paul Chung is originally from Northridge California. He graduated from University of Notre Dame in 2010. Dr. Chung continued his education at Tufts University School of Dental Medicine and graduated with his Doctor of Medicine in Dentistry (DMD) in 2010. 

He is a detail-oriented dentist and enjoys providing high quality patient care and the best possible treatment for his patients. With his laid back demeanor, Dr. Chung will make you feel relaxed and right at home.

Dr. Chung is a lifelong learner and always strives to keep abreast ...

Getting an appointment is fast and easy!
Get Started!