Cosmetic Dentistry in Hartford, CT
Achieving the smile of your dreams at JP Dental may be easier than you think. The solution may be as simple as a professional teeth whitening treatment that brightens your smile by removing stains and discoloration. If you’re looking for a full smile makeover, we can combine several treatments like tooth-colored fillings, bonding, and veneers for a total smile transformation, all from a licensed cosmetic dentist in Hartford, CT.
A Solution for Every Need
In-Office Teeth Whitening
At JP Dental, we offer Zoom® professional teeth whitening treatment. It’s fast, effective, and can be completed at our office in under an hour. We’ll protect your lips and gums, and a hydrogen-peroxide gel is applied to the surface of the teeth to be whitened. Next, we use a special curing light that reduces the heat to which your teeth are exposed.
Zoom® will whiten your teeth by up to eight shades in a single session. However, you will require periodic touchups to maintain the beautiful results. We will also provide you with a convenient take-home kit for maintenance at home.
Take-Home Whitening Kits
You may decide that you don’t have the time to visit our office for a whitening treatment, so we also offer customized take-home kits. The kit provides everything you need, including the whitener, tray, and complete instructions for use. You will use the whitener every day for about 15 minutes. In about two weeks, you’ll see results similar to those of an in-office whitening treatment.
Tooth-Colored Fillings
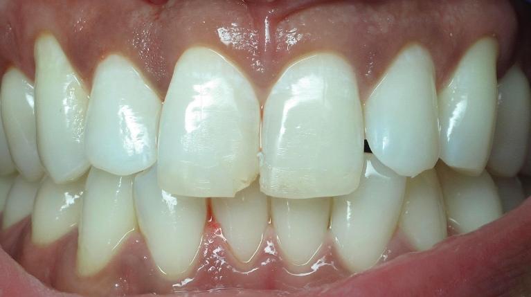
Most people don’t think of a dental filling as a cosmetic treatment. However, improved materials now allow us to match the shade of the filling to your natural teeth. Using tooth-colored composite fillings, we can create a repair that blends seamlessly with surrounding teeth. After treatment, even you may not be able to see where we made the repair!
The same tooth-colored material used for fillings is perfect for a procedure called bonding. Dental bonding is a process where we gradually build up areas of a damaged tooth using the same material. Since we can match the shade of your natural teeth, we can repair flaws like chipped, broken, or unevenly spaced teeth with beautiful natural-looking results.
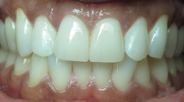
Porcelain Veneers
Veneers are thin translucent shells of porcelain that are secured to the front surface of individual teeth. Porcelain veneers improve the appearance of your smile by covering imperfections and altering the shape of one or more of your teeth.
We use porcelain veneers to conceal severely stained teeth, close gaps between your teeth, and perfect the shape of small or misshapen teeth. As you age, you may notice that your teeth are beginning to show signs of wear. Using veneers, we can protect them from further damage and restore their original look with professional cosmetic dentistry.
Please Call to Arrange a Consultation
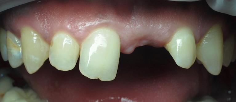
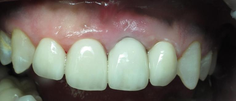
JP Dental offers many other restorative treatments like crowns, bridges, and dental implants that improve your appearance. If you would like to learn more about your options, please call us to arrange a convenient consultation.
Your smile is one of the first things people notice about you. If you feel yours isn’t making a great first impression, we have the solution you need! We love helping our patients achieve the smile of their dreams. At JP Dental, we offer a wide variety of services to help you regain a smile you will love showing off.