Skip to main content
JP Dental Hartford
Request an Appointment
Like us on Facebook
Follow us on Twitter
Visit us on Yelp
Watch our Youtube Videos
Leave a Google Review
Pin us on Pinterest
Instagram
FourSquare
(860) 525-2366
19 Woodland St., Suite 32
Hartford, CT 06105
Home
About
Our Team
First Visit
Services
View All
Dental Implants
Fluoride Treatment
All On X
Front Tooth Dental Implant
Mouth Guards
Tissue Grafting
Smile Makeovers
Root Canal Treatment
Dental Crowns
Emergency Dentistry
Porcelain Veneers
Fixed Bridges
Invisalign
Preventive Treatments
Removable Dentures
Sedation
Tooth Extraction
Tooth-Colored Fillings
6 Month Smiles
Cosmetic Dentistry
Children's Dentistry
Dental Implants
View All
Socket Preservation
Sinus Lift
Ridge Augmentation
Platelet Rich Plasma
Guided Bone Regeneration
Autogenous Tooth Bone Graft
All On X
Smile Gallery
Testimonials
Forms
FAQs
View All
Dental Crowns
Dental Implants
Emergency Dentistry
Invisalign
Preventive Treatments
Sedation
Tooth Extraction
Tooth-Colored Fillings
Cosmetic Dentistry
Blog
Locations
Financial
Contact
JP Dental Hartford
>
Smile Gallery
>
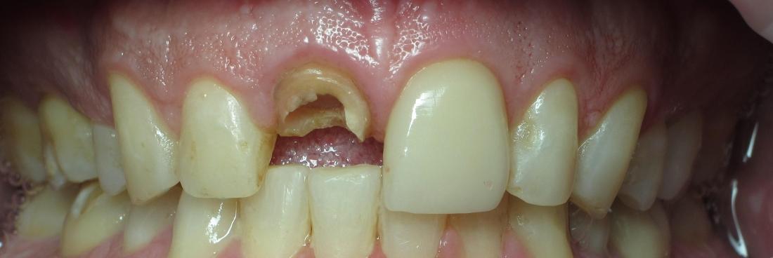
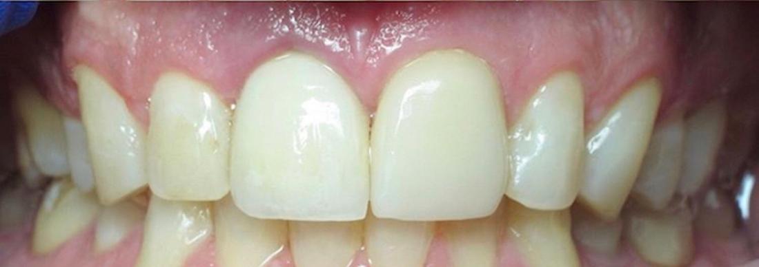
anterior implant to restore broken tooth
anterior implant to restore broken tooth
Return to Smile Gallery
Previous
Next
broken tooth was replaced with implant and implant crown.
Related Services:
Cosmetic Dentistry
Dental Implants
Before
After
Have Questions? Get in Touch
Contact Us
OK!
×
×
Contact Us Today
Give Us A Call
JP Dental Hartford -
(860) 525-2366
Send Us an Email
Request an Appointment
Contact Us
Ready to Schedule an Appointment?
Book Online
Have Questions? Contact Us:
Required Field
Your Name:
Phone:
Email:
Are you a new patient?:
Are you a?
New Patient
Current Patient
How would you like us to contact you?
Please choose
Email
Call
Text
How did you hear about us?
Please choose
I'm an existing patient
Google/Bing
Mailer
Word of mouth
Social media
Other
Who Referred You?:
Insurance Information
Carrier/Provider
Group ID#
Date of Birth
Appointment Preferences
Monday
Tuesday
Wednesday
Thursday
Your Message:
This site is protected by reCAPTCHA and the Google
Privacy Policy
and
Terms of Service
apply.
Sending...
×
This Patient's Experience
Loading Testimonial...
Loading Case...