Patient presented with rampant decay due to poor diet and oral hygiene habit. Root canal and composite restorations were done to restore the teeth to its original form. Patient was happy with the new smile.
 
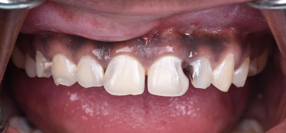
Patient presented with rampant decay due to poor diet and oral hygiene habit. Root canal and composite restorations were done to restore the teeth to its original form. Patient was happy with the new smile.